Identificación y eliminación de diferentes tipos de manchas dentales

Distrito
3 Min Read

Existen varios colores de manchas en los dientes, como marrón, negro, blanco y amarillo. Algunas son inevitables, pero otras se pueden prevenir y tratar.

Tipos de manchas en los dientes, cómo identificarlas y eliminarlasTipos de manchas en los dientes, cómo identificarlas y eliminarlas

Última actualización: 21 junio, 2024

Descubrir manchas en los dientes puede afectar la imagen y la confianza. Conocer los tipos de manchas en los dientes puede orientar sobre qué hacer al respecto.

De forma natural, los dientes tienen una coloración blanca o amarillenta sutil. Sin embargo, pueden aparecer imperfecciones que afectan su apariencia, muchas de las cuales se pueden tratar y prevenir.

¿Por qué se manchan los dientes?

Las manchas en los dientes pueden ser extrínsecas o intrínsecas, dependiendo de dónde aparezcan y cuál sea su causa.

Manchas extrínsecas en los dientes

Estas se producen cuando el esmalte dental, la capa exterior de los dientes, se ve afectado por sustancias y situaciones externas que cambian su coloración.

  • Enjuagues prolongados con clorhexidina tiñen los dientes de marrón.
  • La mala higiene bucal provoca acumulación de placa bacteriana y sarro.
  • Fumar y consumir tabaco favorece la pigmentación dental.
  • Consumir alimentos y bebidas de color oscuro, como café, té, vino tinto, entre otros.

Decoloración intrínseca de la dentadura

Estas manchas suceden dentro del diente y afectan la dentina, la capa debajo del esmalte, siendo más difíciles de tratar.

Las posibles causas incluyen la genética, caries dental, traumatismos dentales, envejecimiento, tratamientos dentales, ciertos medicamentos y fluorosis.



Tipos de manchas dentales según el color

Las manchas dentales se pueden clasificar según su color, siendo las más comunes blancas, amarillas, marrones y negras.

Es importante recordar que el diagnóstico debe ser realizado por un experto en odontología.

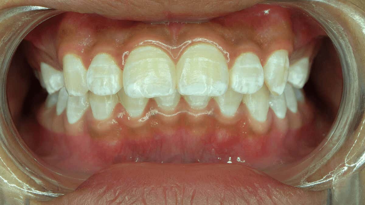
Manchas blancas en los dientes

Manchas blancas en los dientesManchas blancas en los dientes

Las manchas blancas en los dientes, menos comunes, pueden ser una preocupación estética y también indicar problemas de salud dental subyacentes.

Algunas causas incluyen hipoplasia del esmalte, caries incipientes, fluorosis dental, déficit nutricional y uso de brackets de ortodoncia.

Dientes amarillos

Las manchas amarillas en los dientes son comunes y pueden deberse a factores como bruxismo, condiciones médicas, boca seca crónica, uso de tabaco, envejecimiento, higiene bucal deficiente y erosión del esmalte.

Suelen aparecer como un color amarillo uniforme en toda la superficie dental o como parches más oscuros en algunas zonas de los dientes.

Dientes con manchas marrones

Manchas marrones en los dientes, cerca de las encíasManchas marrones en los dientes, cerca de las encías
Share This Article